Dental Implant Puchong: Why Serene Smile Excels in Precise, Long-Lasting Tooth Replacement Surgery
The Surgical Advantage: Dr. Shern's Specialized Approach to Dental Implant Puchong
Precision Planning with 3D CBCT Scanning is Non-Negotiable
Key Benefits of 3D Digital Planning:
Safety First: It allows for the precise mapping of vital structures like nerve pathways and sinuses. Thus, surgical risk is minimized.
Predictable Results: We determine the exact optimal depth and angle for the titanium post. This is critical for strong osseointegration (bone fusion).
Minimally Invasive Surgery: Better planning translates to fewer incisions, a quicker procedure time, and a gentler overall Implant Surgery experience for the patient.
Full Scope of Implant Solutions: Replacing One Tooth or Many
2. Implant-Supported Bridge: This is a highly stable option for replacing multiple adjacent teeth using fewer implants. In addition, it preserves more bone than conventional bridging.
3. Full Arch Restoration (All-on-X): This is the definitive solution for patients missing most or all of their teeth. Specifically, this permanent fixed denture system restores the entire bite. Often, this is a crucial component of our Full Mouth Rehabilitation service, drastically improving quality of life.
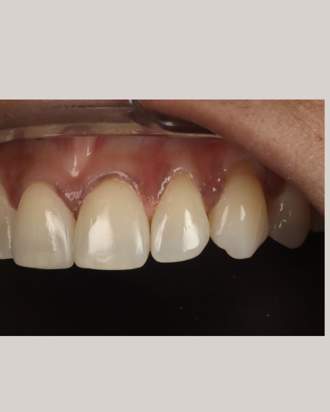
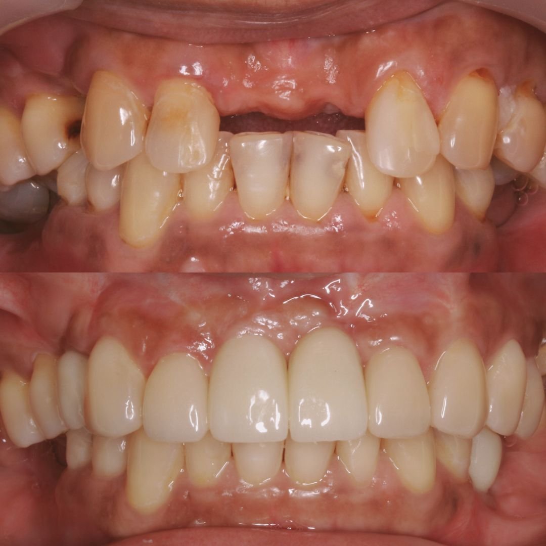
Dental Implant Gallery In Serene Smile Dental Clinic Puchong
Dental Implant Puchong Cost & Transparency: Investing in a Permanent Solution
Understanding the True Value of an Implant
Longevity: A well-placed implant can last a lifetime. Conversely, bridges may need replacing every 10–15 years.
Bone Preservation: Implants stimulate the jawbone. Therefore, they prevent the bone loss (resorption) that occurs after tooth extraction. This is essential for maintaining your facial structure.
Cost Efficiency Over Time: Over a 20-year period, the cost of replacing bridges or re-lining dentures often exceeds the single investment in a permanent implant. Thus, implants offer superior long-term financial value.
Our Transparent Quotation Process
2. Surgical Phase (Implant placement by Dr. Shern).
3. Restorative Phase (Final permanent crown/prosthesis).
This process guarantees no hidden fees at your trusted Puchong dentist.
Advanced Procedures Related to Implant Success (Bone and Tissue Management)
Bone Grafting and Sinus Lifts
Patient Comfort and Recovery: Our Commitment to a Gentle Surgical Experience
Patient Testimonial: Trusting Our Surgical Expertise
“I was so anxious about getting an implant, but Dr. Shern’s team was incredibly patient. They used a numbing technique that made the whole procedure feel so gentle. I’m relieved I found such an expert, high-quality dentist right here in Puchong so I didn’t have to drive into the city. Highly recommend for anyone needing surgery.” –Mr. Jerry H., Meranti Jaya, Puchong
“I drive from Cyberjaya for my follow-ups. Because of this, I trust Dr. Shern completely. I was nervous about the Implant Surgery, but the whole process was smoother than I expected. The result is stable and perfect. Truly, the best dentist in Puchong for complex work.” – Ms. Chong H., Cyberjaya
Maintaining Your New Implant for Life
Meet Dr Shern
Dr. Tan Yuan Shern:


